fimas-logo-90fimas-logo-90fimas-logo-90fimas-logo-90
  • AZIENDA
  • SERVIZI
  • PRODOTTI
    • Angiografi
    • Autorefrattometri / Cheratometri
    • Ecografi
    • Epifora
    • Fundus Camera
    • Laser
    • Lampade a fessura
    • Microscopia speculare
    • Occhio secco
    • OCT / OCT Angiography
    • Perimetria / Campi Visivi
    • Usato
  • NEWS & ACADEMY
  • CONTATTI
Categorie
  • NEWS & ACADEMY
Tag
  • heidelberg engineering
  • oct

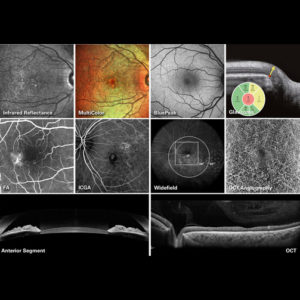
Fimas Group, in collaborazione con Heidelberg Engineering Academy, presenta il prossimo corso OCT LIVE, che si terrà il 18 aprile 2019 a Roma presso l’IRCCS Fondazione G.B. Bietti.

Verranno eseguite acquisizioni dal vivo, con pazienti selezionati, trasmesse in alta definizione su grande schermo; sarai invitato a condividere l’interpretazione delle immagini acquisite, per poter successivamente individuare anche la migliore gestione del paziente stesso.
La sessione OCT LIVE permetterà di fare esperienza dei vantaggi derivanti dalla diagnostica per immagini multimodale, un approccio che consente la migliore gestione del paziente, dall’individuazione precoce della patologia al monitoraggio della sua progressione.

Lingua del corso: Italiano

Quota di partecipazione: 50€ + iva

Per ulteriori informazioni https://academy.heidelbergengineering.com/mod/facetoface/view.php?f=115

 

 

Condividi su
fabrizia.dottavio
fabrizia.dottavio

Articoli correlati

Febbraio 16, 2026

Politica Aziendale PdR 125:2022 – Sistema di Gestione per la Parità di Genere


Leggi
Giugno 8, 2023

NEO Premium Laser Range – Ellex


Leggi
Aprile 14, 2023

1º Corso Teorico-Pratico di Ecografia Oculare S.I.S.O. | 16-20 aprile 2023, Salerno


Leggi

Distributori nazionali

Italia
  • Heidelberg
  • Quantel medical
  • Grand Seiko
  • PolyDiagnost
  • BTC Ophthalmic Surgery
  • Forus
  • Optomed
  • Ellex
  • Konan Medical

Distributori regionali

Marche, Abruzzo, Molise
  • CSO
Lampade a fessura, riuniti, proiettori, Fundus camera, tonometri, Elettrofisiologia
Abruzzo
  • Johnson & Johnson
Facoemulsificatori, Lenti intraoculari, Viscoelastici, Femtolaser, Occhio secco

Diagnostica di base

Una gamma completa di prodotti e piccoli apparecchi di diagnostica per un allestimento ambulatoriale di base.
© Fimas srl - P.IVA: 00311560692 | Privacy Policy e Cookie Policy | Condizioni di vendita | Tutti i prezzi esposti sono al netto dell'IVA